REVISTA CUBANA DE CARDIOLOGÍA Y CIRUGÍA CARDIOVASCULAR
Órgano Oficial de la Siedad Cubana de Cardiología
Volumen 24, No 3 (2018).
ISSN: 1561-2937
Publicada por ECIMED

Imágenes Cardiovasculares


Reparación con Aortoplastía en un adulto con Coartación Aórtica

Repair with Aortoplasty in an adult with Aortic Coarctation

Diego B. Ortega-Zhindón, Serafín Ramírez-Castañeda, Octavio-Flores Calderón

Hospital General de México “Dr. Eduardo Liceaga”


Correspondencia: Dr. Diego B. Ortega-Zhindón. Email: diegoortegamd@yahoo.com

Palabras claves: Coartación de Aorta; Aortoplastía; Adulto; Cirugía.

Keywords: Aortic Coarctation; Aortoplasty; Adult; Surgery.


Presentación de caso.

Presentamos un paciente masculino de 41 años, con antecedentes de hipertensión arterial sistémica, quien ingreso por dolor precordial y disnea. Se realizó ecocardiograma encontrándose hipertrofia concéntrica del ventrículo izquierdo, área valvular aórtica 3.1 cm2, arteria aorta coartada con una velocidad máxima de 4.15 m/s.

Se complementó con una angiotomografía mostrando un calibre de 3.6 cm en la salida del ventrículo izquierdo y mostrando posterior al nacimiento de la arteria subclavia izquierda una disminución del calibre en un 40% para posteriormente recuperar su calibre normal (Figura 1 y 2).

Se realizó tratamiento quirúrgico con una técnica de aortoplastía con parche de Dacrón (Figura 3), evolucionando favorablemente el paciente.

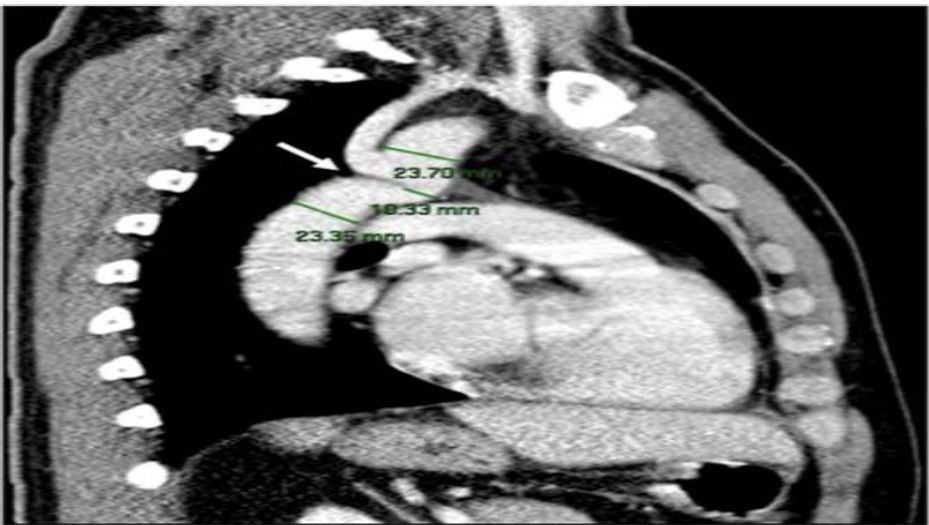
Figura 1. Reconstrucción sagital de tomografía contrastada de tórax donde se observa el área de coartación de la aorta (Flecha) junto con las dimensiones en los diferentes segmentos.

763img1

Figura 2. Imagen comparativa entre (A) reconstrucción 3D e (B) imagen transoperatoria, identificando las principales estructuras y el lugar de coartación (flecha). ASI: Arteria Subclavia Izquierda; Co Ao: Coartación de Aorta; Ao Ds: Aorta Descendente; *: Lugar de unión del Arco Aórtico con la Arteria Subclavia Izquierda.

763img2

Figura 3. Comparación entre la coartación aórtica (A) y posterior a la reparación (B) con colocación de parche de Dacrón en forma de diamante (líneas discontinuas). ASI: Arteria Subclavia Izquierda; Ao Ds: Aorta Descendente.

763img3

La incidencia de coartación aórtica es del 5% de todas las cardiopatías congénitas, siendo resuelta principalmente durante los primeros años de vida;1,2 y presentándose con hipertensión arterial y/o disnea como principales síntomas en el caso de pacientes en edad adulta.2-4 Existen diversas técnicas quirúrgicas descritas, como son: la resección y anastomosis término-terminal, aortoplastía con parche y la aortoplastía con flap de subclavia,1-3 que a pesar de que pueden existir complicaciones como recoartación, paraplejía, aneurismas, hipertensión arterial, entre otras;1 el resultado quirúrgico muestra una supervivencia de alrededor del 98% 1-3 , siendo principalmente en este último grupo de edad una excelente opción, con buenos resultados a corto y largo plazo.2-4

Bibliografía

1. Centella-Hernández T, Stanescu D, Stanescu S. Coartación aórtica. Interrupción del arco aórtico. Cir Cardiov 2014;21(2):97-106.

2. Charlton-Ouw K, Codreanu M, Leake S, Sandhu H, Calderon D, Azizzadeh A, et al. Open repair of adult aortic coarctation mostly by a resection and graft replacement technique. J Vasc Surg 2015; 61:66-72.

3. Faella H. Coartación de aorta en el adulto. Angioplastía vs cirugía. Arch Cardiol Mex 2004; 74(2):330-333.

4. Yin K, Zhang Z, Lin Y, Guo C, Sun Y, Tian Z, et al. Surgical management of aortic coarctation in adolescents and adults. Interact CardioVasc Thorac Surg 2017; 24:430-435.

Recibido: 09-07-2018
Aceptado: 31-07-2018